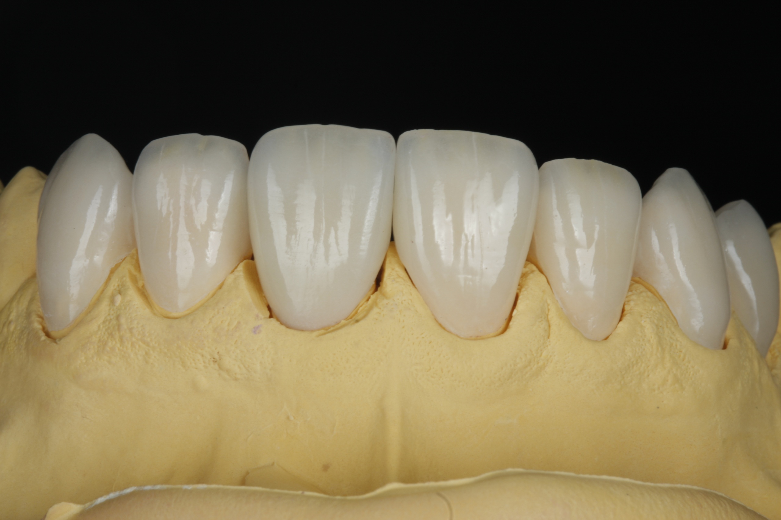
Veneers
Veneers ou Facetas dentárias são comparáveis com lentes de contacto.
Veneers ou facetas são revestimentos muito finos de cerâmica translúcida quase comparados a lentes de contacto e que permitem a correção de imperfeições nos dentes (como por exemplo fracturas, despigmentação ou irregularidades dos mesmos).
Devido à sua espessura muito reduzida, o desgaste dos dentes é muito suave ou até nulo, fazendo com que este tratamento seja muito pouco invasívo e que garante extraordinárias mudanças a nível estético.
Os veneers são feitas individualmente no laboratório de prótese dentária e aderidos com um adesivo especial à superfície dos dentes. Esta ligação é muito duradoura e o resultado é extremamente natural devido ao tipo de cerâmica utilizada.
Veneers permitem a correção de imperfeições nos dentes naturais como fracturas, descolorizações ou irregularidades na sua posição

